Paso 4: Rellenar objetos con Arrays

Dos círculos son grandes. Pero ¿qué pasa si queríamos generar 200 círculos a la vez? Una manera de hacer esto sería inicializar 200 objetos a mano y entonces invocar todos los métodos uno por uno.
Para salvarnos de todos los escribir, podemos simplemente utilizar una matriz que puede contener 200 objetos. La ventaja de usar una matriz es que, podemos utilizar un bucle "for" para recorrer todos los elementos de la matriz y hacer algo para cada uno de ellos.
El código para rellenar 200 círculos es algo como esto:
int numCircle = 200;
Círculo de círculos [] = new circulo [numCircle]; Declaración de array
void setup() {}
Size(400,400);
Smooth();
200 círculos de inicialización
para (int i = 0; i < numCircle; i ++) {}
círculos [i] = nuevo Circle(random(width),random(height),20,color(130,0,250,60));
}
}
void draw() {}
Background(255);
método de cada objeto
para (int i = 0; i < circles.length; i ++) {}
Circles[i].display();
Circles[i].Jiggle();
}
}
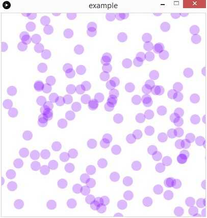
Ver resultado anterior.
Aquí, en setup(), utilizamos un bucle ir a cada celda de la matriz de "círculos" e inicializar un objeto para cada uno. Más tarde, en draw(), itera a través de cada círculo objeto había almacenado en la matriz de "El círculo del tipo" e invoca los métodos de cada uno.
La mejor parte es, ahora, no importa cómo muchos círculos que queremos, ya sea dos o 2 millones (aunque, que retrasaría su computadora significativamente!), solo tenemos que modificar la variable "numCircle", y el resto puede permanecer igual.